The Smile Center Indianapolis IN dentist
The Smile Center Family Dentistry
Dr. Jyoti Shah Home Office Information Patient Information Patient Education Contact Us
Complete Dental Care for Children and Adults! Serving Castleton, Northeast Indy, and the rest of Greater Indianapolis
Quick Links to Indianapolis IN Dentist Dr. Jyoti Shah
Map and Hours
Request an Appointment
New Patient Forms
Our Services

     

Click Below to Pay Online:
 
Crown Lengthening
 

In many cases of dental decay, tooth fracture, or even in instances where an individual has "short" teeth, a crown lengthening procedure will allow us to properly construct an esthetic and functional crown, bridge, or restoration.

Crown lengthening is a simple surgical procedure which adjusts the position of the gum around the affected tooth, thereby providing a more solid tooth on which to anchor the restoration of choice. A functional crown lengthening will help you regain a beautiful smile and allow you to eat and speak with comfort and confidence.

A purely esthetic crown lengthening procedure to correct a "gummy" smile is often referred to as Gum Contouring.


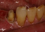
before
Before Crown Lengthening
This tooth required crown lengthening to provide enough tooth surface for a restoration
 
 
Ask the Dentist Dr Jyoti Shah
Cosmetic Dentistry Indianapolis IN dentist
More info
What our Patients Say
Patient Reviews Indianapolis IN dentist Patient Testimonials
leave a review
Smile Center Family Dentistry Dr. Jyoti Shah Indianapolis IN Dentist

© Copyright 2001- Dental WebSmith, Inc. and Jyoti R. Shah, DDS, Inc. All rights reserved.
Disclaimer: The information provided within is intended to help you better understand dental conditions and procedures.
It is not meant to serve as delivery of medical or dental care. If you have specific questions or concerns, contact your health care provider.